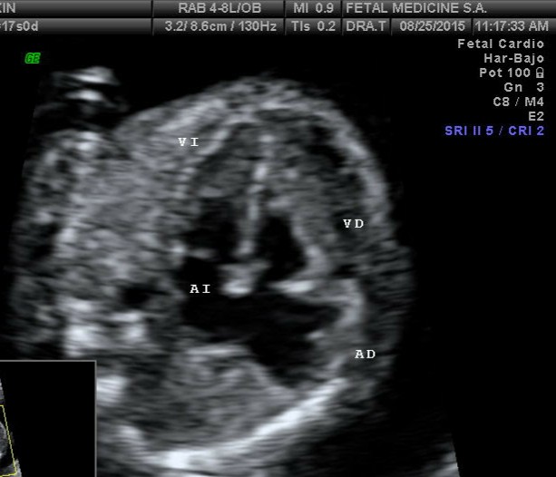
El diagnóstico precoz de la patología cardíaca fetal es uno de los aspectos en los cuales más se ha avanzado en los últimos años. Aunque todavia las tasas de detección son relativamente bajas, sobretodo en las anomalías de tracto de salida.
Sin embargo, en algunas el corte de cuatro cámaras cardíaco se puede alterar desde temprano.
Trabajar de la mano con Cardiología Pediátrica es fundamental no sólo para establecer el más acertado diagnóstico probable, sino también para conocer pronóstico, intervenciones necesarias y en definitiva, dar un plan de manejo coherente.
Es ingenuo creer que como Médico Maternos Fetales , Médicos Fetales, o Obstetras Diagnóstico Prenatal, podemos suplantar la información generada por Cardiología Pediátrica.¿ Cuánto tiempo mi hijo se va a quedar en Terapia intensiva?, ¿ Cuáles medicamentos y complicaciones podría desarrollar mi hijo ? ¿ De ser necesario una intervención quirúrgica se puede realizar en Panamá, o realmente necesita viajar fuera de nuestro país? Esa información el padre y la madre la necesitan saber durante el embarazo.

