Las cifras de diferentes organizaciones indican que el cáncer de mama en Panamá es el de mayor incidencia fatal en el país. Pero eso se puede revertir con educación, información y campañas de concienciación enfocadas en la prevención y el diagnóstico oportuno. Durante 2020, Vamos Contra el Cáncer registró 7 mil 681 nuevos casos de cáncer en general en el país, de los que 967 fueron de mama. Y eso no es todo. Las proyecciones mundiales, según datos de Observatorio Global de Cáncer, indican que: - 1 de cada 4 mujeres podría tener la enfermedad en algún momento de su vida. - 2.3 millones de mujeres fueron diagnosticadas con cáncer de mama en todo el mundo en el 2020.
- Para el 2040, se espera un total de 3.19 millones de nuevos casos de cáncer de mama en el mundo, provocando aproximadamente 1.04 millones de defunciones. ¿Qué hacer para disminuir las cifras de cáncer mama? Lo primero que se debe es comprender realmente la enfermedad. Todo comienza porque las células normales del seno crecen y se dividen para formar células nuevas, y hay ocasiones en las que este proceso natural se descontrola y ocurre que hay una formación de células nuevas cuando el cuerpo no las necesita, y otras que ya están viejas o dañadas que no mueren cuando deberían.
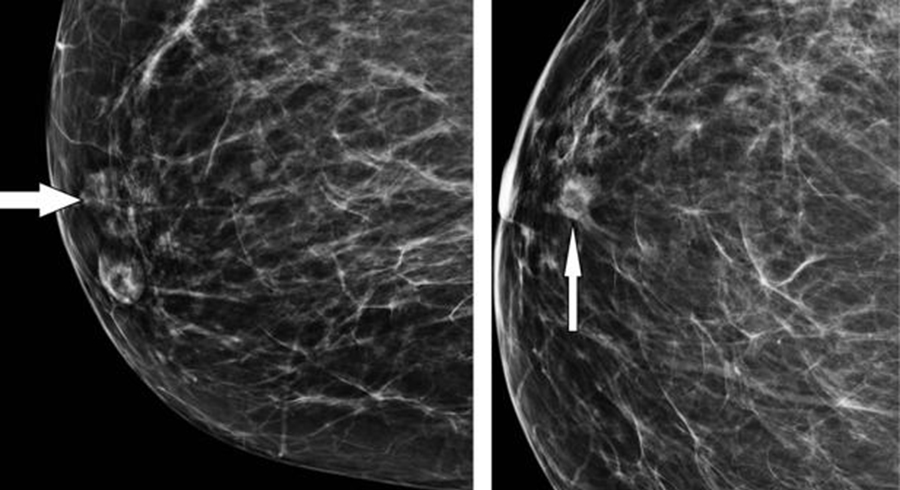
Toda esta acumulación de células que no son necesarias provoca la formación de una masa de tejido que se llama tumor, y que puede ser benigno o maligno. Para evitar el diagnóstico cuando ya es demasiado tarde, que es cuando las células cancerosas del seno viajan por los vasos sanguíneos o por el sistema linfático para llegar a otras partes del cuerpo, adherirse a otros tejidos y crecer para formar nuevos tumores (metástasis), hay que actuar de manera preventiva. La mamografía es el estudio aliado en esta tarea porque detecta signos radiográficos tempranos de cáncer, cuando aún no hay síntomas de la enfermedad. Es tan efectivo en esta misión que se ha comprado que reduce en casi un 30% el riesgo de mortalidad del cáncer de mama. La recomendación es que se realice de forma periódica desde los 40 años y si hay antecedentes de riesgo en la familia se debe hacer la mamografía a los 35 años, y si es normal, repetirla a partir de los 40 años anualmente.
El especialista puede indicar también una ecografía para crear una imagen del tejido mamario ondas de sonido, o una imagen por Resonancia Magnética que usa campos magnéticos, en lugar de rayos X, para producir imágenes detalladas del cuerpo. También debemos aclarar que el autoexamen no sustituye ni es equivalente a la mamografía. Es parte del cuidado y prevención, pero solo funcionará si la mujer conoce muy bien sus senos para que sea capaz de detectar:
- Un bulto que se palpa como un nudo firme o un engrosamiento de la mama o debajo del brazo.
- Cualquier cambio en el tamaño o la forma de la mama. - Secreción del pezón que se produce de forma repentina.
- Cambios físicos, como pezón invertido hacia dentro o una llaga en la zona del pezón.
- Irritación de la piel o cambios en esta, como rugosidades, hoyuelos, escamosidad o pliegues nuevos.
- Mamas tibias, enrojecidas e hinchadas, con o sin erupción cutánea con rugosidad que se asemeja a la piel de una naranja.
- Dolor en la mama que no desaparece.
Factores de riesgo de cáncer de mama Aunque las pacientes sin antecedentes médicos tienen hasta un 15% de posibilidades de desarrollar cáncer de mama durante su vida, hay factores que elevan su riesgo de tener la enfermedad. El envejecimiento es un factor de riesgo, de 30 a 39 años, y mayores de 60 años, así como los antecedentes familiares de línea directa (madre, hija, hermana) o familiares que han padecido cáncer de mama o de ovario. Además, si una mujer ya fue diagnosticada con cáncer de mama en el pasado, puedes tener el riesgo de que reaparezca en la misma mama o en la otra. Las mujeres de razas blancas son un poco más propensas a desarrollar cáncer de mama, que las afrodescendientes, latinas o asiáticas, mientras que la exposición al estrógeno por periodos prolongados ininterrumpidos puede aumentar el riesgo debido a que el estrógeno estimula el crecimiento de las células mamarias. Hay otros factores de riesgo que también inciden en el desarrollo de este cáncer:
-Haber sido muy joven cuando tuvo el primer periodo menstrual.
-No haber dado a luz o tener el primer hijo a una edad más tardía.
-Comenzar la menopausia más tarde.
-No haber amamantado.
-Dieta alta en grasas y obesidad.
-Alcohol en exceso. Tratamientos del cáncer de mama El tratamiento actualizado del cáncer de mama, una vez confirmado histológicamente, consiste en la extirpación del tumor, acompañada de una escisión de lo que denominamos el ganglio centinela, el primero en la cadena de la región que recibe células cancerígenas del tumor primario. De estar negativo por células tumorales, las posibilidades son mayores de 97% que el resto de los ganglios también lo estarán. Con la cirugía se remueve y estudia el tumor primario, para poder definir la cantidad y el tipo de tratamiento indicado para dicho cáncer. Además, se busca evidencia de metástasis. Con este tipo de abordaje, conocido como preservación mamaria, casi el 80% de las mujeres pueden ser tratadas de su cáncer con pocas secuelas cosméticas y menos dolor. Aquéllas que no son elegibles para este protocolo –por tener mamas muy pequeñas o múltiples focos tumorales, entre otras razones– tienen que ser sometidas al tratamiento tradicional conocido como mastectomía radical modificada, donde se remueve toda la mama y los ganglios axilares. Una vez pasada la primera fase de tratamiento quirúrgico, en tumores operables, viene la fase de tratamiento adyuvante o preventivo en casos que lo ameriten. Este tratamiento puede ser una o todas las siguientes: quimioterapia combinada cuyo uso dependerá de los resultados de los ganglios y los marcadores del tumor. De estos resultados dependerán cuáles drogas, en qué orden y por cuánto tiempo deben utilizarse (usualmente de cuatro a ocho meses).
¿Cómo sumarse a la lucha contra el cáncer de mama?
Es importante que se entienda que es una lucha de todos y solo de quienes padecen la enfermedad y sus familiares. Educar, informar e incentivas a todas las mujeres de nuestro entorno a que se realicen las pruebas preventivas es muy importante para minimizar las cifras fatales de cáncer de mama.

